- 心情抒發
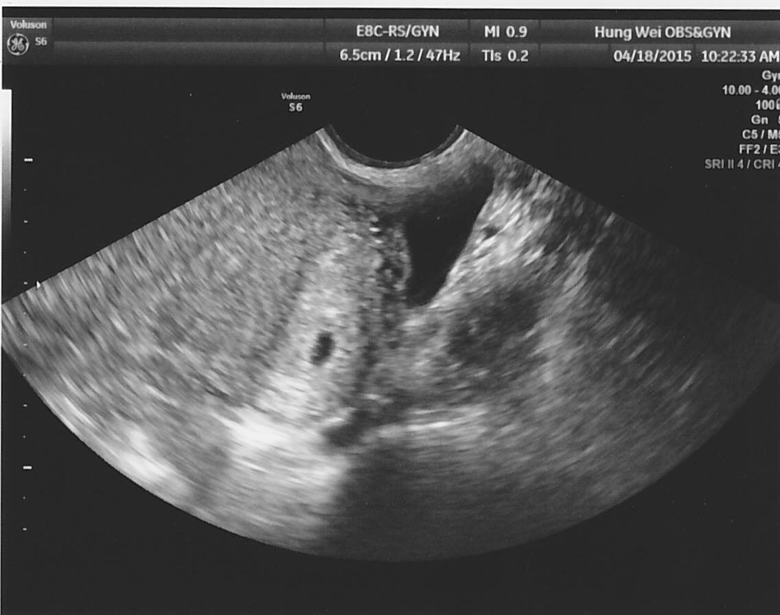
橢圓形的胎囊

(用掃描的有點不清處)
星期六照到的胚囊 忘記問醫生幾mm了
醫生說不到5週
醫生也沒有說他不健康
上1次月經是3/15-3/21
這幾天無聊就看ㄧ下超音波照
ㄧ開始只覺得形狀好像豆子好可愛
今天看了看 總覺得有2個小白點
請問那個是什麼?還是超音波照片照起來都會這樣?
(胚囊裡面有2個小白點)
Ps:有點橢圓形像豆狀是正常的嗎


加入最愛


檢舉文章


Line分享


FB分享

(用掃描的有點不清處)
星期六照到的胚囊 忘記問醫生幾mm了
醫生說不到5週
醫生也沒有說他不健康
上1次月經是3/15-3/21
這幾天無聊就看ㄧ下超音波照
ㄧ開始只覺得形狀好像豆子好可愛
今天看了看 總覺得有2個小白點
請問那個是什麼?還是超音波照片照起來都會這樣?
(胚囊裡面有2個小白點)
Ps:有點橢圓形像豆狀是正常的嗎


加入最愛


檢舉文章


Line分享


FB分享